A Modern Approach to Restorative Dentistry
Bioclear offers the latest, most progressive products and methods for anterior and posterior composites.





Browse Courses
Intro Courses
Lorem ipsum dolor sit amet, consectetur adipiscing elit. Proin ac dictum.
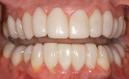
Black Triangle System
The Black Triangle (BT) kit is a must for closing black triangles using composite.
Webinars
Lorem ipsum dolor sit amet, consectetur adipiscing elit. Proin ac dictum.
What is the Bioclear Method?
The Bioclear Method is a system of restorative dental procedures and protocols that, when combined in practice with Bioclear tools and materials, results in predictable, esthetically pleasing, and long-lasting patient outcomes.
The Bioclear Method – and each of its related treatments – are scientifically supported by a set of core principles, known collectively as the Five Pillars of Bioclear. These tenets not only make Bioclear a unique system but also a sound one, with dependable results.
What is a Bioclear Matrix?
Featured Products
FOR PATIENTS
For Clinicians
Bioclear Learning Center
The Bioclear Learning Center provides a new pathway for dentists and their practice to transition from traditional GV Black dentistry, to the extraordinary world of modern composite dentistry.

INDUSTRY LEADING
It elit tellus, luctus nec ullamcorper mattis, pulvinar dapibus leo.

HANDS ON COACHING
It elit tellus, luctus nec ullamcorper mattis, pulvinar dapibus leo.

SMALL CLASS SIZES
It elit tellus, luctus nec ullamcorper mattis, pulvinar dapibus leo.

ONE TO ONE SUPPORT
It elit tellus, luctus nec ullamcorper mattis, pulvinar dapibus leo.
Dr Claire Burgess
Claire is an accomplished Dental Associate and Clinical Lecturer who specializes in general dentistry and Bioclear Method Restorative treatments – both cosmetic and complex. She currently practices at Smile Concepts, a Specialist and General Private practice in Solihull, in the UK. She has extensive experience in restorative and cosmetic dentistry, completing her MSc in Restorative and Cosmetic Dentistry at the University of Central Lancashire in 2012. She is a Certified Bioclear Instructor and has clinically worked predominantly with Bioclear since 2015.
Bioclear Testimonials
Find out what doctors and patients are saying about Bioclear.











